Blog
Everything You Need To Know About Apicoectomy
An apicoectomy is a surgical procedure involving removing the tip of the root and some surrounding bone and tissue. The process often follows an unsuccessful root canal treatment, in which case it’s also known as endodontic retreatment. Apicoectomy can help to relieve chronic inflammation, infection, or pain caused by persistent disease at the root tip. […]
Read More Top Tooth Saving Tips
Keeping oral health in top condition is essential for maintaining a healthy, beautiful smile. Your oral hygiene and oral care habits can directly impact your overall well-being. That’s why it’s so important to take proper care of your teeth and gums — and that doesn’t just mean brushing twice a day. Here are some tooth-saving […]
Read More How Sedation Dentistry Is Helpful
Are you someone who gets anxious when it comes to going to the dentist? Sedation dentistry can help relieve those anxieties and make your time at the dentist much more pleasant. Sedation dentistry is a type of dental procedure that can help reduce stress, anxiety, and fear in people who have trouble with regular visits […]
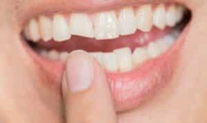
Read More How Can I Fix Cracked Teeth? Types Of Cracks
Are cracked teeth hard to fix? It depends on the type and severity of the crack, but it can be a challenging fix. A qualified endodontist can usually restore cracked teeth with proper treatment. This article will discuss types of cracked teeth, how they can be fixed, and what you should do if you suspect […]
Read More Steps To Be Taken During Dental Emergencies
Do you know what to do in the case of a Dental Emergency? Dental emergencies can be painful and alarming, but educating yourself on what steps to take during such a situation can reduce the potential for further pain or damage. Here’s an overview of how to respond when time is of the essence. Dental […]
Read More A Complete Guide To Dental Implant Treatment Near Tri-Valley
Do you feel insecure about your missing teeth? With dental implants, you no longer have to worry about your missing teeth. Dental implants are a permanent tooth replacement option that will restore the aesthetics of your smile, and the function of your teeth and act just like natural teeth. The following blog is a complete […]
Read More 